Dental Care
La historia clínica de nuestro paciente: Implantes en 1 día
Tratamiento realizados:
1
Años de experiencia

Implantes en 1 día:
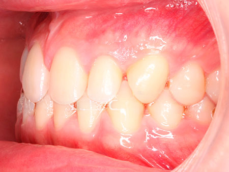
El paciente no se sentía a gusto con su sonrisa, por lo que se puso en manos de nuestro equipo de ortodoncistas. En el diagnóstico, la doctora Patricia Bratos observó que tenía diastemas y el tamaño de algunas piezas era más pequeña de lo habitual. El paciente optó por los alineadores Invisibles.
Con este tratamiento, los dientes se fueron juntando para que lo espacios entre ellos desaparecieran. Posteriormente, la doctora Bratos pautó un proceso de reconstrucción estética para que el tamaño de las piezas fuera armónico y estuvieran igualados. Para conseguir un resultado todavía más óptimo, el paciente se realizó un blanqueamiento dental combinado.
Razones para elegirnos
¿Quieres conocernos personalmente?
REVISIÓN Y DIAGNÓSTICO GRATUITOS
Otras historias
Queremos que no tengas dudas y que descubras mucho más casos reales de éxito de nuestra clínica dental.