Casos reales
La historia clínica de nuestro paciente: Maloclusión dental con apiñamiento
1
Años de experiencia

Descripción del caso y tratamiento:
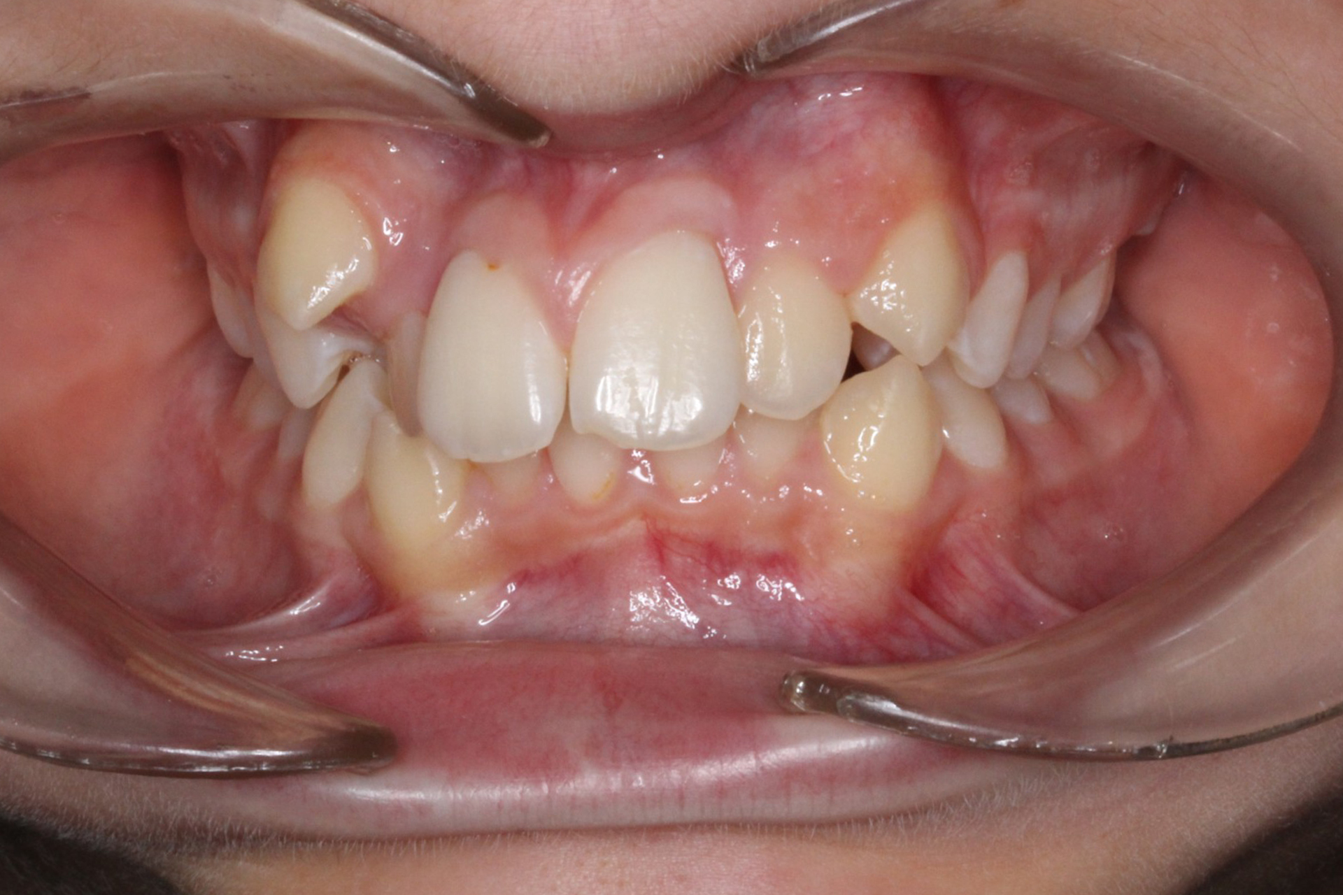
Se observa una maloclusión con apiñamiento dental anterior y posterior, acompañada de asimetria en la disposición de las arcadas. La relación molar corresponde a una clase II bilateral, lo que afecta la oclusión global. El plan de tratamiento se orienta a mejorar alineacion y nivelacion de los dientes sin extracciones, buscando optimizar el espacio disponible. Este enfoque permite además favorecer higiene у funcion, reduciendo el riesgo de problemas periodontales у mejorando la estética у la mordida del paciente.
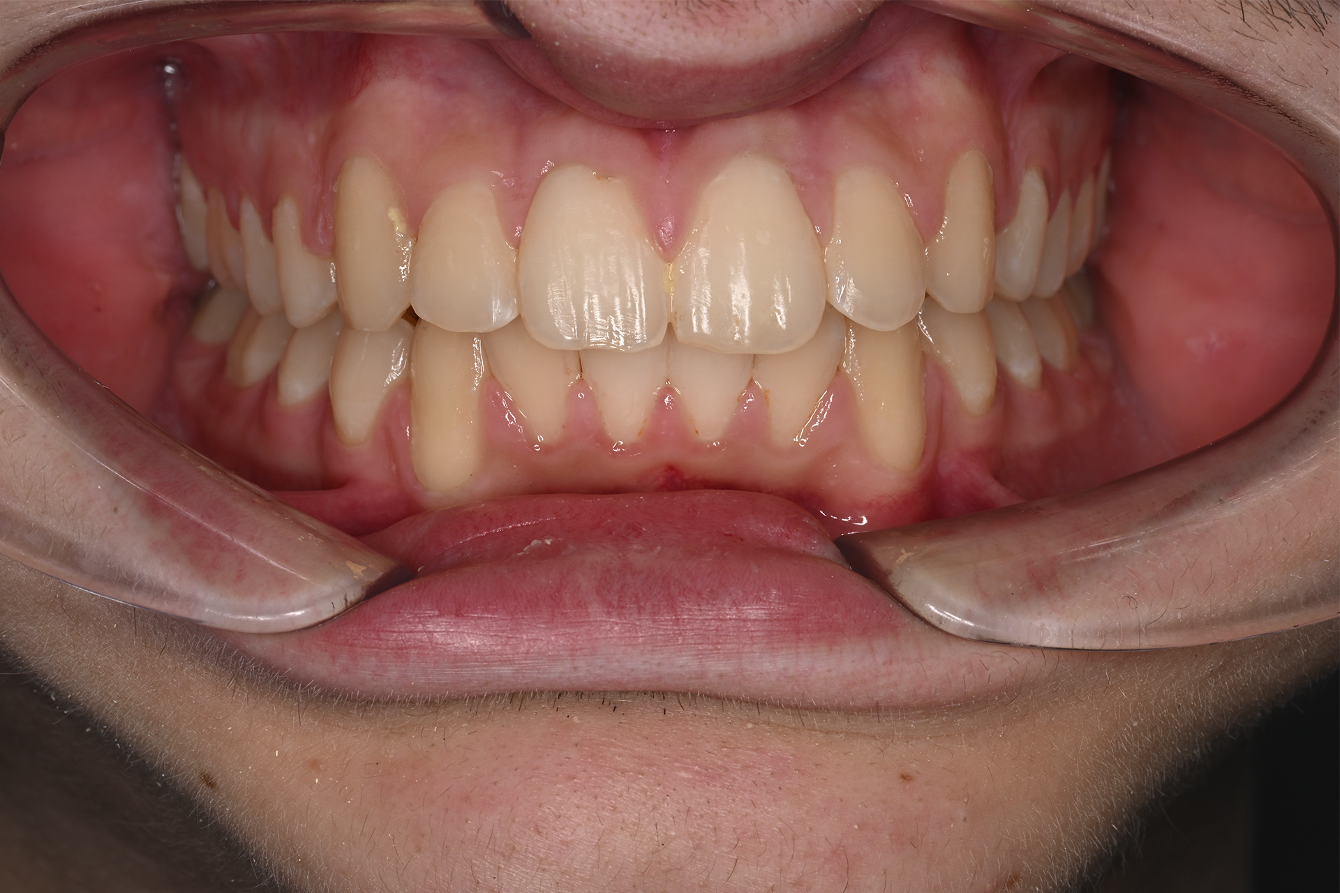
El tratamiento se realizó sin extracciones, utilizando brackets de autoligado para optimizar el movimiento dental. En una primera fase se llevó a cabo la alineación, corrigiendo el apiñamiento; posteriormente, la nivelación permitió coordinar ambas arcadas. Durante el proceso se indicó el uso de elasticos durante el tratamiento para mejorar la relación intermaxilar. En la fase final de detallado se ajustó la oclusión y la estética. Tras un tiempo de tratamiento de 18 meses, se consiguió una correcta intercuspidación, logrando oclusion funcional y y estabilidad periodontal, favoreciendo la salud a largo plazo
¿Quieres conocernos personalmente?
REVISIÓN Y DIAGNÓSTICO GRATUITOS